
Psoriasis ve Vitiligo için Monokromatik UVB Terapi 308 EXCIMER Sistem
308 EXCIMER Sistem, yoğun monokromatik UVB terapi için elde taşınabilen bir sistemdir. 308 nm dalga boyu ile 308 EXCIMER SİSTEM psoriasis ve vitiligo gibi otoimmün cilt hastalıklarında etkili bir tedavidir. 308 EXCIMER, dünya çapında elde kullanılabilen ve taşınabilen tek monokromatik UVB terapi sistemidir. 308 nm dalga boyu, excimer lazerler ile aynı olup, hastalarınızı excimer lazer kadar hızlı ve etkili tedavi ettiği klinik olarak ispatlanmıştır. Sistem boyut olarak küçük, hafif ve kullanım kolaylığı ile bir excimer lazerden daha esnektir. Daha uygun satın alma maliyeti ve çok daha düşük işletme giderleri sistemi fiyat olarak uygun hale getirir.
Psoriasis ve Vitiligoda Etkinliği Klinik olarak İspatlı ve FDA onaylıdır
Yüksek dozda 308 nm monokromatik 308 EXCIMER Sistem ışığı psoriasis ve vitiligo için ideal terapidir. Diğer birçok UV duyarlı cilt hastalıkları da monokromatik UVB fototerapiye iyi cevap verir.
308 nm Dalga Boyu Lezyon Hedefleme
308 EXCIMER Sistem ile tedaviler özellikle yoğun ve etkilidir. 16 cm² spot büyüklüğü lokal plaklar üzerine direkt uygulanabilir. Özel maskeler spot üzerine takılarak daha küçük bölgelerin tedavisinde büyüklük ve şekli adapte etmenize olanak sağlar. 308 EXCIMER Sistem, lezyon hedeflenmesi sayesinde istenilen yükseklikte monokromatik UVB ışık uygulanabilir. Sağlıklı cilt ışığa maruz kalmadığı için korunmuş olur.

Küçük, Mobil ve Hesaplı
308 EXCIMER Sistem özel çantasında özel aksesuarları, maskeleri ve koruyucu gözlükleri ile taşınabilir. Bu sayede bu elde taşınabilen monokromatik UVB terapi farklı yerlerde kullanılabilir. Düşük satın alma ve işletme maliyeti sistemi psoriasis ve vitiligo tedavisinde oldukça hesaplı hale getirir.
Psoriasis ve Vitiligoda Etkinliği Klinik olarak İspatlıdır
308 Excimer Sistem, psoriasis ve vitiligo tedavisinde FDA onayına sahiptir. Monokromatik UVB ışığı birçok çeşitli otoimmün cilt sorunu için tedavide kendini ispatlamıştır. 308nm dalga boyu, excimer lazer ile aynı dalga boyuna sahiptir; pahalı ve hantal lazer sistemlerine gerek olmadan, excimer lazerler ile bire bir aynı sonuçları elde ettiği ispatlanmıştır. 308 Excimer sistem ile excimer teknolojisi avuç içinize sığar hala gelmiştir. 308 Excimer sistem tedavileri yoğun ve etkilidir. 16cm² spot büyüklüğü ve güçlü enerjisi ile lezyonları tam olarak hedeflerken, sağlıklı cildi korur. 308 Excimer sistem ideal uygulamaları, dirençli ve lokal lezyonlardır. Seçilebilir güç yoğunluğu 50’den 6.000 mJ/ cm²’e kadar değişir ve bireysel hasta ihtiyaçlarına, bulgularına göre adapte edilebilir.
Psoriasis de Etkinliği Klinik Olarak İspatlıdır.
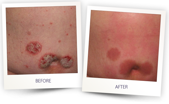
308 Excimer sistem, psoriasis tedavisinde klinik olarak ispatlanmış mükemmel sonuçlar verir. Lokal ve dayanıklı psoriasis plaklarının hedeflenmesi yüksek dozlar uygulanmasına olanak tanırken, hızlı gözle görülen sonuçlar elde edilmesi maksimum hasta memnuniyeti sağlar. Yüksek güç yoğunluğu ve lokal lezyon uygulaması ile 308 EXCIMER, diz ve dirseklerde, el/ayak, kafa derisinde yer alan lokal ve dirençli psoriasis plakları için mucizevi bir tedavi seçeneğidir. Klinik testlerde sadece 8-10 seans sonra dirençli psoriasis plaklarının bile ciddi ölçüde azaldığı ve tamamen yok olduğu ispatlanmıştır.
Vitiligo da FDA Onaylıdır
Monokromatik UVB ışığı vitiligo tedavisi için etkin bir tedavi olarak tanımlanmıştır. 308 Excımer sistem, vitiligo tedavisinde excimer lazerle aynı performansta etkinlik gösterir. Tedavi, uygulanan cilt yüzeylerinin yeniden pigment kazanmasına neden olur. Lezyonlar üzerine odaklı uygulama ile sağlıklı doku korunmuş olur
Diğer 308 Excimer Sistem Endikasyonları
Sistem aynı zamanda immün sistemin disfonkiyonu kaynaklı diğer cilt hastalıklarında da kullanılabilir. UVB radyasyonu immün yapılandırma etkisine sahiptir ve patolojik olarak değişmiş hücresel aktiviteleri normalleştirebilir. Psoriasis ve vitiligonun yanı sıra, dar bant UVB terapiye iyi cevap veren bazı diğer endikasyonlar;
- Hipopigmentasyon
- Alopecia areata
- Mikozis fungoides
- Çeşitli atopik egzama, atopik dermatit
- Eritema anülare sentrifugum ve daha birçokları
308 EXCIMER Sistem belli başlı belirleyici yararlara sahiptir: yoğun monokromatik UVB ışığı psoriasis ve vitiligo lokal tedavisinde yüksek etkinliktedir. Elde taşınabilen sistem küçük, mobil ve kullanımı kolay bir dizayndadır. Düşük satın alma ve işletme maliyeti sistemi oldukça hesaplı hale getirir.
Klinik Olarak İspatlı Etkinlik
- Optimum dalga boyu 308 nm ile yoğun, monokromatik UVB terapi
- FDA onaylı tedaviler
- Güvenli ve hızlı tedaviler için lokal lezyonların hedeflenmesi
- Geniş bölgelerin hızlı tedavisi için 16 cm²’ye kadar spot büyüklüğü
- 50 - 6,000 mJ/cm² aralığında değiştirilebilen güç yoğunluğu ile çeşitli dozlar
Yüksek Hasta Memnuniyeti
- İyileşme süresi gerektirmeyen acısız tedavi
- Birkaç seans sonrasında gözle görülebilir sonuçlar
- Lezyon hedefleme ile sağlıklı cildin maksimum korunması
- Diğer fototerapi sistemlerindeki gibi bütün vücuda radyasyon uygulanmaz
Kullanım Kolaylığı
- Dünyadaki tek elde tutulabilen excimer sistemi, kompakt ve taşınabilir mobil sistem
- Büyük, kullanımı kolay renkli dokunmatik ekran
- Bütün parametrelerin basit ve kolay seçimi,
- Her bir tedavinin dozunu belirlemede kolay ve zaman kazandıran otomatik entegre MED(Minimum Eritem Dozu) testi
Akıllı tasarım/ Akılcı fiyat
- Düşük satın alma ve işletme maliyeti, bakım gerektirmeyen teknoloji
- Bakım gerektirmeyen teknoloji
- Mobil ve az yer tutan sistem
- Sarf malzeme yoktur, gaz değişimi gerektirmez
- Taşıma çantası sayesinde kolay taşıma, farklı yerlerde kullanabilme imkanı
Wavelength : 308 nm
Max Spot Boyutları : 40 x 40 mm 16cm²
Ortalama Çıkış Yoğunluğu : 50 mW/cm²
Enerji Yoğunluğu : 50-6,000 mJ/cm²
Ekran : Yüksek Çözünürlüklü Renkli LCD Dokunmatik Ekran
Boyutlar (B x E x Y) : 26 x 24 x 27 cm
Ağırlık : 1.5 kg
Güç Gereksinimleri : 100-240 V ± 10%, 0.8 A, 50/60 Hz
Uygunluk : EC Medical Device Directive (MDD) 93/42/EEC (CE mark), FDA/US 510 k*
"Geçmişte excimer lazeri vitiligo ve psoriasis tedavisinde iyi klinik sonuçlarla kullandım. Şimdi ise elde taşınabilir 308 EXCIMER SİSTEM’i kullanıyorum, çünkü hem çok daha kullanışlı, hem de klinik olarak olarak aynı sonuçları alıyorum."
Dr.Raul Yaguboglu, Dermatoloji Uzmanı, DermAllegra, Pommelsbrunn / Hohenstadt, Almanya
"Birçok hastayı tedavi ettikten sonra görüyorum ki 308 EXCIMER SİSTEM gerçekten güçlü. Bazı vakalarda sonuçlar excimer lazerden daha iyi."
Prof.Dr.Ulrich Amon, Dermatoloji Uzmanı, DermAllegra, Pommelsbrunn / Hohenstadt, Almanya
"2001’den bu yana excimer lazerimiz ile 1000’den fazla tedavi gerçekleştirdik. Şunu söyleyebeiliriz ki, tedavi sayılarını göz önüne aldığımızda, 308 EXCIMER SİSTEMİ ile excimer lazerle birebir aynı klinik etki ve tedaviye cevap verme süresine sahiptir."
Dr.Jagdish Sakhiya, Dermatoloji Uzmanı, Sakhiya Cilt Kliniği, Surat, Hindistan
"Kıyas kabul etmez güvenliği, inanılmaz hızı ve geniş uygulama alanı ile 308 EXCIMER SİSTEM’den oldukça memnunum. Vitiligo, plaklı psoriasis, alopecia areata ve atopik dermatitte mükemmel sonuçlar aldık. Sonuçlar sadece birkaç seans sonrasında görülebilir olduğu için hasta memnuniyeti çok yüksek. Kullandığım 25 lazer içinde maliyetini en hızlı çıkaran sistem bu oldu. Ayrıca sistemi diğer topikal veya sistemik tedaviler ile de kombine edebiliyorsunuz. Bana göre tedavi sürelerini kısaltmak ve yan etki riskini minimize etmek isteyen bütün klinikler ve kozmetik dermatoloji uzmanları 308 EXCIMER SİSTEM kullanmalıdır."
Dr.B.S.Chandrashekar, Dermatoloji Uzmanı, CUTIS, Kütanöz Bilimler Akademisi, Bangalore, Hindistan
"308 EXCIMER SİSTEM ile yüzlerce vitiligo hastasına oldukça makul fiyatlara neşe, güven dolu gülüşler ve heyecan getirdi. Excimer lamba için teşekkürler!"
Dr.Dirk Gröne, Dermatoloji Uzmanı, Berlin, Almanya
"308 EXCIMER SİSTEM, kaşıntılı ve enflamatuar cilt hastalıkları için terapilerde devrim yarattı! Excimer lazerin bütün endikasyonları aynı etkide hızlı ve kalıcı biçimde uygulanıyor. Bu sistem aynı zamanda küçük kullanışlı ve oldukça kullanıcı dostu."
Dr.Sanjeev Aurangabadkar, Dermatoloji Uzmanı, Skin & Laser Clinic, Begumpet, Hyderabad, Hindistan
"308 EXCIMER SİSTEM’i 6 aydır kullanıyorum ve sistemden de klinik sonuçlarından da çok memnunum! Geçtiğimiz 10 yılda, psoriasis ve vitiligo hastalarında tüm vücut UVA/Dar bant UVB fototerapileri kullanıyordum. Şimdi 308 EXCIMER ile öngörülebilir sonuçlarla hızlı kapsayıcı tedavi sağlayabiliyorum – özellikle fokal vitiligo, palmoplantar psoriasis dahil psoriasis, alopec,a areata, prurigo ve birçok hastalıkta. Oldukça portatif, az kaplayan ve sarf malzemesi olmayan, bakım gerektirmeyen etkili bir siste. Bugün 308 EXCIMER, başka lazerlerin de olduğu kliniğimin teröpatik tedavi kısmında paha biçilemez bir araç."
